ヘルシースマイルは、皆様のお役に立つお口の情報コーナーです。
自覚しにくい疾患「咬耗」「磨耗」「酸蝕」について
歯質の欠損である「咬耗」「磨耗」「酸蝕」と呼ばれるお口の中の疾患が近年、改めて注目されています。この3つの疾患が虫歯や歯周病に続く歯科疾患として捉え直されている背景には、食生活の変化や複合的な要因、また疾患に自覚しにくいといった事があげられます。
今回「咬耗」「磨耗」「酸蝕」の3つについて、症状や原因、予防法をまとめました。
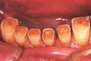
咬耗とは?
噛み合わせによる歯面の擦り減りの事。主に日常の咀嚼作用によるものと、常習性の歯軋りなどが原因として挙げられる。
磨耗とは?
歯と歯の接触以外の原因により物理的に歯が擦り減る現象である。
硬い歯ブラシや強いブラシ圧、さらに研磨性の高い歯みがき粉を使用した場合などによく起こる。
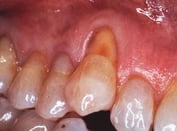
酸蝕とは?
科学的な原因により歯質が溶解すること。摂食障害による嘔吐や胃食道逆流症(GERD)に起こるものと、pHが低い飲食物によるものがある。
進行するとどの様な症状が現れるか?
●知覚過敏や食べ物が歯と歯の間に詰まりやすくなる。(それらに伴い、虫歯の発生や歯周病の増悪)
●歯の長さ(高さ)の変化によるかみ合わせの崩壊
予防には何をすればいいの?
●生活習慣の見直しを!
歯ブラシの選択や磨き方の見直し、食生活の改善
●フッ素塗布やリカルデント成分を配合した歯質再石灰化促進ペーストの応用
●キシリトール含有ガム
CPP-ACP含有リカルデントガムの応用
●低研磨性でフッ素を十分に供給し、再石灰化促進効果のある歯みがき粉の応用
●夜間や日中の歯軋りや噛み締め防止の為のマウスピースの着用
医療法人社団 政志会
サイトウ歯科

