ヘルシースマイルは、皆様のお役に立つお口の情報コーナーです。

口腔内細菌の生き残り作戦
「バイオフィルム」という言葉を耳にされたことはありますか。
「バイオフィルム」とは、バクテリアなどの微生物と微生物が分泌した産生物との複合体の事です。身近な例としては、排水管、台所のヌメリなどです。自然界に広く存在し、微生物が付着する場所と水があればあらゆる場所に存在することが可能です。
近年医学界でも、人体の治療剤(カテーテルなど)や人工股関節などに付着した病原性細菌がバイオフィルムを形成した結果、局所的には化膿性の病巣を作り、全身的には菌・産生物が血液により別の臓器に運ばれて感染症(敗血症)をおこすことがわかってきました。

口腔内の2大疾患であるむし歯・歯周病が細菌による感染症であることは広く知られています。口腔内常在細菌の集合体をデンタルプラークと言ってきました。今日では歯面に強固に付着したデンタルプラークはバイオフィルムと言い換える事ができます。(左図:口腔内プラーク)

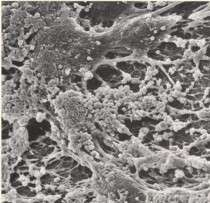
デンタルプラークは単に細菌の集合体としての概念でしたが、バイオフィルムは菌と菌が生産する多糖体の複合体との概念です。多糖体はバリヤーや運搬経路の役割を果たし、環境変化や科学物質から内部の細菌を守っています。その中では嫌気性菌から好気性菌まで様々な種類の細菌が存在し、情報伝達を行いながらコミュニティを形成しています。こうして、細菌生息密度の高い閉鎖的なコロニーが形成され、恒常性が保たれています。(右図:デンタルプラークの電子顕微鏡)
例えると、SF小説の月面基地みたいな環境です。月面基地では、ドーム外の厳しい環境に反してドーム内では快適な生活が送れます。最近も歯面表面にドームを作り、唾液などによる免疫から隔離された中で快適な生活を送っていることになります。

図:善玉菌と歯周病菌が手をつないでバイオフィルムを形成
1.根面につくられた膜に細菌が付着

2.細菌が手に手を取って集まる
最初に付着した細菌は八方美人
どんな細菌とも手をつないでしまう

3.後になって手をつなぐ細菌は悪性度の高い歯周病菌が多い

4.細菌がマンションのように階層になってバイオフィルムを形成

5.ですから、細菌にとって非常に快適な環境であるバイオフィルムは、洗口剤や抗生物質なども内部に浸透しにくく、その薬効は十分には発揮されません。
バイオフィルムは、日々の歯ブラシや歯科医院でのクリーニング等の機械的方法でしか破壊・除去することができないのです。

お口の健康を守るためには、歯ブラシなどによる日々のお手入れと歯科医院での定期健診がとても重要です。